
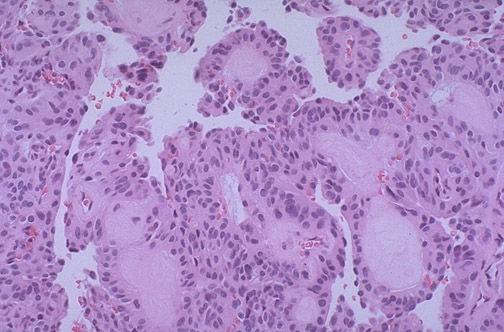
| This is a myxopapillary ependymoma, which is typically found arising in the filum terminale of the spinal cord. Note the cells around papillations that have a myxoid connective tissue core. Surgical removal is made easier if this tumor has not grown around nerve roots of the cauda equina. |
![]() |