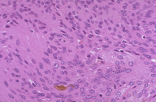
At high magnification, this meningioma has plump pink cells. A small amount of brown granular hemosiderin is present. Meningiomas may also have small concretions known as psammoma bodies.