
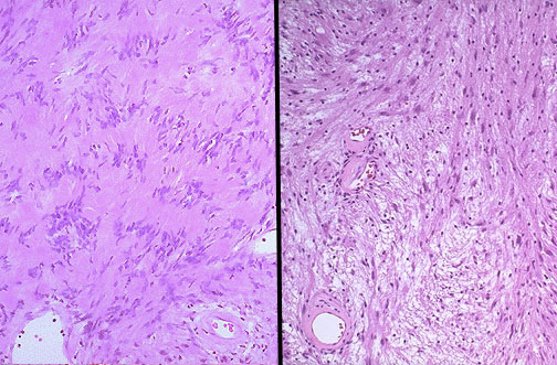
| These are the classic microscopic appearances of a schwannoma, which is benign. Note the more cellular "Antoni A" pattern on the left with palisading nuclei surrounding pink areas (Verocay bodies). On the right is the "Antoni B" pattern with a looser stroma, fewer cells, and myxoid change. |
![]() |