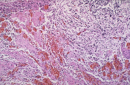
Microscopically, the "area cerebrovasculosa" from the base of the skull from an anencephalic consists of scattered primitive neuroglial tissue elements within an irregular vascular proliferation.