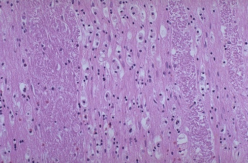
Cerebral infarctions can be accompanied by Wallerian degeneration of descending corticospinal tracts, as shown here at high power in the brainstem.