
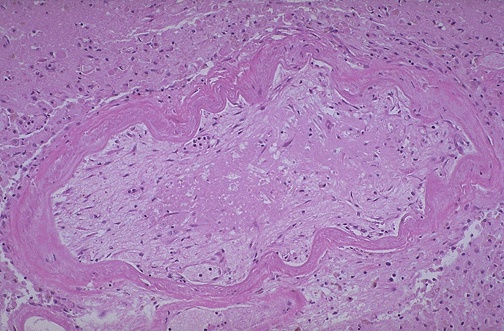
| Thromboemboli can lodge in cerebral arteries, particularly in the distribution of the middle cerebral, and peripherally toward branch points. Here is a thromboembolus that originated from mural thrombus in the left atrium. The heart is a common source for such emboli. |
![]() |