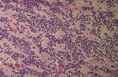
Here is the microscopic appearance of a medulloblastoma with small round blue cells.