
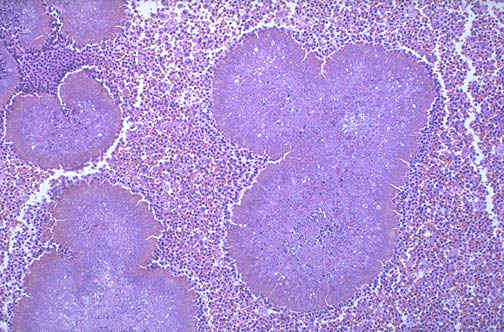
| This patient had soft tissue swelling of the right foot with draining sinus tracts, a condition termed a mycetoma or "madura foot", as a consequence of a deeply invasive fungal infection. In this case, Allescheria boydii was grown. Note the rounded mycotic grains surrounded by acute inflammation. |
![]() |