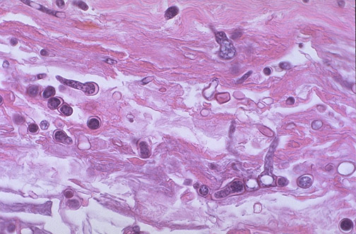
At high magnification, the broad non-septated hyphae of Mucor circinelloides are seen in this section of skin.