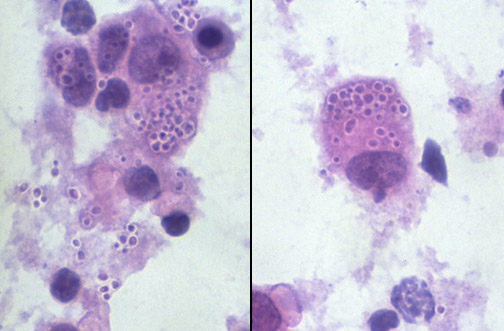
In each panel can be seen a
macrophage filled with small yeasts
of
Histoplasma capsulatum
.