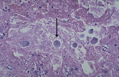
At high magnification, Entameba histolytica organisms are seen in the region of mucosal ulceration of the colon with this H&E stain.