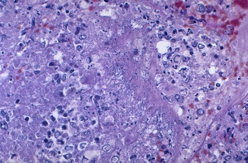
A chronic abscess in the lung contains
Nocardia asteroides
, seen as filamentous organisms with this toluidine blue stain near the center of the image.