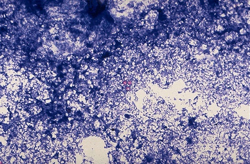
Cryptosporidiosis from infection by Cryptosporidium parvum protozoa is diagnosed in this stool specimen with acid fast stain that highlights these small red-staining organisms.