
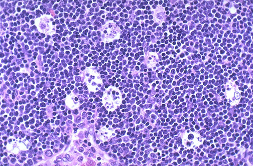
| In this fetal thymus there is involution of thymic lymphocytes by the mechanism of apoptosis. Individual cells fragment and are consumed by phagocytes to give the appearance of clear spaces filled with cellular debris. Apoptosis is controlled by many mechanisms. Genes such as Bcl-2 are turned off and Bax genes turned on. Proteolytic enzymes called caspases produce much cellular breakdown. |
![]() |