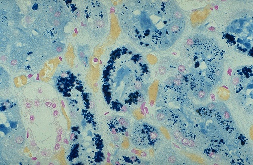
These renal tubules contain large amounts of hemosiderin, as demonstrated by the Prussian blue iron stain. This patient had chronic hematuria.