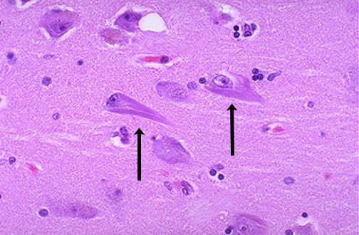
Here are neurofibrillary tangles in neurons of a patient with Alzheimer's disease. The cytoskeletal filaments are grouped together in the elongated pink tangles.