
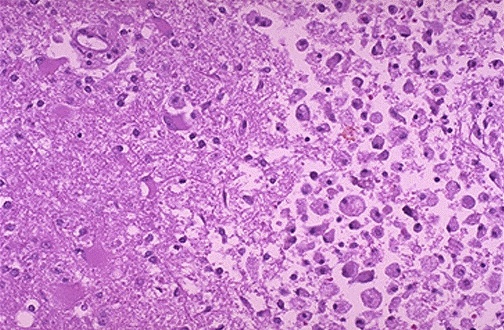
| At high magnification, liquefactive necrosis of the brain demonstrates many macrophages at the right which are cleaning up the necrotic cellular debris. The job description of a macrophage includes janitorial services such as this, particularly when there is lipid. |
![]() |