
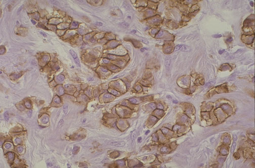
| This is positive immunohistochemical staining for C-erb B-2 (HER-2/neu) in a breast carcinoma. Note the membranous staining of the neoplastic cells with the antibody directed against the HER-2 gene product (normal cells do not make this product). This gene encodes for an epithelial growth factor receptor on the cell membrane that stimulates cellular proliferation. There is a correlation between HER-2 positivity and high nuclear grade and aneuploidy of a breast cancer. The drug trastuzumab is a monoclonal antibody directed against HER-2 positive breast cancer cells. |
![]() |