
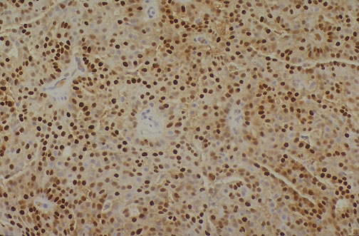
| Here is another example of estrogen receptor (ER) positivity in a breast carcinoma. The use of the immunohistochemiccal technique allows determination of ER positivity within just the nuclei of the neoplastic cells, without interference from other non-neoplastic cells. |
![]() |