
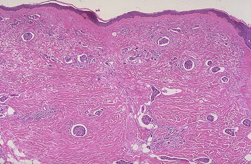
| The skin overlying the breast has prominent lymphatic spaces filled with small metastases from breast carcinoma. (Normally, the lymphatics are inconspicuous.) Carcinomas often metastasize via lymphatics. Breast cancers most often metastasize to the axillary lymph nodes, and may be palpable on physical examination, and these nodes are often removed at the time of surgery for breast cancer. |
![]() |