
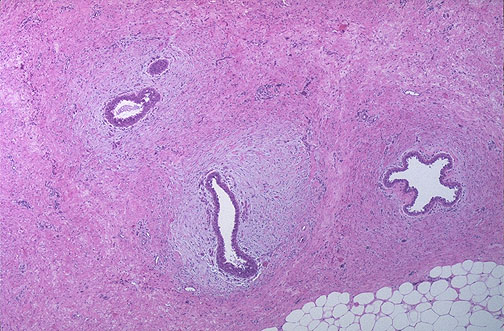
| The normally small amount of male breast tissue consists of just a few ducts, without lobules, in a fibrous stroma. With gynecomastia, this tissue is increased, and there can be ductal epithelial hyperplasia, or prominent periductular edema as seen here. Gynecomastia can be unilateral or bilateral. |
![]() |