
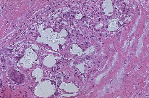
| Microscopic examination of the fibrous capsule from a silicone breast implant will often reveal the refractile silicone material as shown here, because this material gradually leaks out. There is a foreign body granulomatous response. This has not been shown to be associated with systemic disease, such as autoimmune disease. The fibrosis around a breast implant may produce deformity and pain in some women. Rupture is uncommon. |
![]() |