
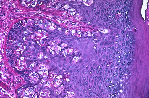
| A PAS stain demonstrates reddish staining mucin within the Paget cells of Paget disease of the breast. This is evidence for their origin from an underlying ductal carcinoma. By immunoperoxidase staining, they will also be keratin positive and epithelial membrane antigen positive. |
![]() |