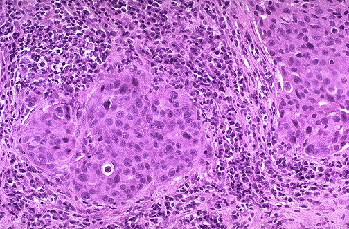
At high magnification, medullary carcinoma is composed of cells with pleomorphic nuclei that have prominent nucleoli. The surrounding stroma has a prominent lymphoid component. Though not seen here, foci of necrosis and hemorrhage can be found.