
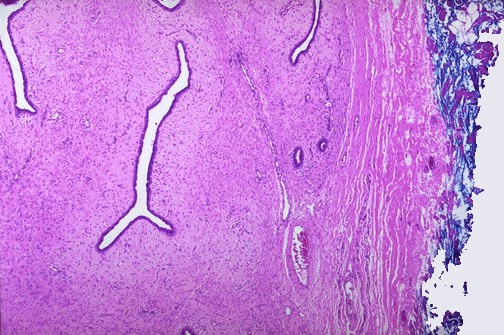
| Here is the microscopic appearance of a fibroadenoma. To the right is compressed breast connective tissue forming a "capsule" to this mass. The neoplasm itself is composed of a fibroblastic stroma in which are located elongated compressed ducts lined by benign appearing epithelium. |
![]() |