
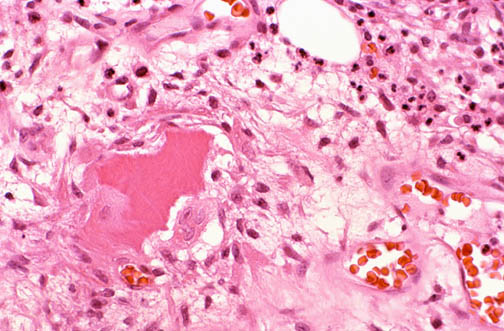
| At high magnification can be seen acute inflammation as well as chronic inflammation with fibrosis and an irregular fragment of necrotic bone in this case of acute and chronic osteomyelitis. In this case, a diabetic foot ulcer extended into the underling calcaneus. |
![]() |