 |
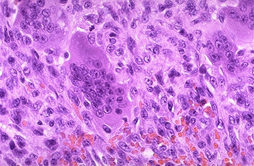
Histologically, giant cell tumors of bone as seen here are composed of osteoclast-like multinucleated giant cells in a sea of round to oval mononuclear stromal cells. There may also be foamy macrophages and hemosiderin deposition in the stroma. Though these tumors are biologically benign, they can expand and cause pain, deformity, or fracture. They are treated by curettage or resection, but when radiated, they may undergo malignant transformation.
|