
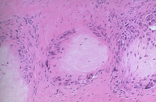
| The pale areas seen here are tophi, or aggregates of urate crystals surrounded by infiltrates of lymphocytes, macrophages, and foreign body giant cells. A tophus is the characteristic finding of gout. Tophi are most likely to be found in soft tissues, including tendons and ligaments, around joints. Less commonly tophi appear elsewhere. Tophaceous gout results from continued precipitation of sodium urate crystals during attacks of acute gout. |
![]() |