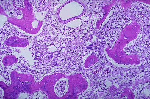
The microscopic appearance of an osteosarcoma is shown here. Sarcomas have very pleomorphic cells, often with a spindle shape. One large cell with very large nuclei is seen near the center. There are islands of reactive new bone.