
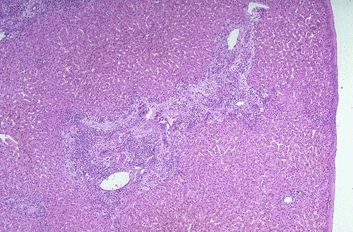
| The portal tracts in this liver are swollen and contain proliferated bile ducts along with a predominantly neutrophilic inflammatory infiltrate. This is an example of obstructive jaundice from a disease process external to the liver, in this case an adenocarcinoma of the head of the pancreas obstructing the common duct near the ampulla. |
![]() |