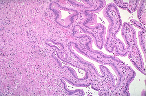
A normal gallbladder is shown here microscopically, with tall columnar cells lining mucosal folds at the right and the submucosa and the muscularis at the left.