
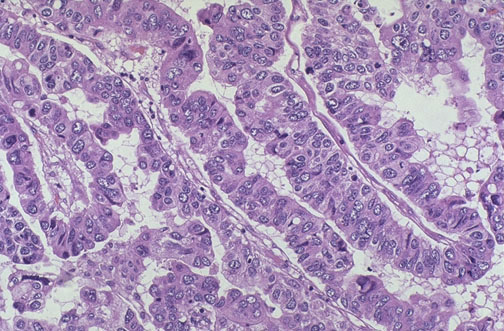
| At high magnifcation, this adenocarcinoma of the gallbladder is seen to be composed of columnar cells forming glandular and papillary structures. The prognosis with adenocarcinoma of the gallbladder is usually poor, because they have often invaded and metastasized by the time they are discovered. |
![]() |