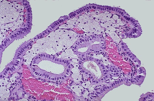
Microscopically, the mucosa in cholesterolosis of the gallbladder contains many foamy macrophages which produce the grossly visible strawberry-like appearance. This is an incidental finding.